Venous thromboembolism (VTE), which includes pulmonary embolism (PE) and venous thrombosis, is a major cause of death and disability in the United States, affecting about 900,000 people each year with a mortality rate of 10% to 30% within 30 days of diagnosis, the majority among those with PE.1,2 VTE is also a significant burden to the health care system, with estimated costs of approximately $7 to $10 billion annually in the United States.3 Yet, the standard of care for PE has not kept up with the emergence of advanced technologies that show significant improvement in both clinical and economic outcomes.

At a time when evidence-based intervention has become the pillar of PE management, Penumbra Inc. has been at the forefront of clinical expertise to provide solutions designed to be faster, safer, and more efficient for patients. Computer-Assisted Vacuum Thrombectomy (CAVT™) offers the potential to reduce length of stay, complications, and help address hospital resource constraints.4 Lightning Flash™ 2.0 (Penumbra, Inc.) reflects technologic refinement optimized for rapid clot removal and flow restoration. A recent retrospective analysis evaluated resource use and health outcomes of 2,060 1:1 propensity score–matched patients in the United States with intermediate-risk PE when treated with CAVT compared to traditional treatment modalities, including anticoagulation (AC), catheter-directed thrombolysis (CDL), and other mechanical thrombectomy (MT).4 Relative to the other modalities studied, the investigators found that CAVT was associated with:

  • 3.4 times lower composite complications* compared to MT4
  • 58% to 61% lower risk of acute kidney injury development compared to CDL and MT4
  • 25% to 35% shorter total hospital length of stay4
  • 24% to 33% higher rate of patients discharged to home4

As interventional strategies in PE care continue to evolve, the importance of standardized hemodynamic markers—particularly right-to-left ventricular (RV/LV) ratio—has been on the forefront of clinical discussions. The RV/LV ratio serves as a key surrogate for right heart strain and is a well-established prognostic marker in acute PE.5 It has been found that increased RV/LV ratio is associated with a 2.5 times greater risk for all-cause mortality and adverse outcomes and a 5 times greater risk for PE-related mortality.5 CAVT is designed to rapidly reduce thrombus burden in the pulmonary arteries (PAs), offloading the right heart. This may offer a significant clinical advantage in improving both near- and long-term outcomes in intermediate-risk patients.

Looking to the future, Penumbra’s leadership in the PE space remains unwavering. With the extensive experience within the VTE space and an ongoing commitment to data-driven innovation, the boundaries of PE treatment continue to be redefined. The upcoming STORM-PE randomized controlled trial results are set to be presented at TCT and VIVA/VEINS. STORM-PE is a first-of-its-kind study comparing MT with CAVT to AC alone.

*Composite complications is defined by Vizient and in this study includes: In-hospital stroke, GI hemorrhage prevention, postoperative infection, hospital-acquired AMI, readmit for infection due to previous care, readmit for other complications of internal device/implant/graph, readmit for other surgical wound complications, infection/inflammation due to Internal device/implant/graph, postoperative shock, aspiration/pneumonia, C. diff.

1. American Lung Association. Learn about pulmonary embolism. Updated October 30, 2024. Accessed February 5, 2025. https://www.lung.org/lung-health-diseases/lung-disease-lookup/pulmonary-embolism/learn-about-pulmonary-embolism

2. Beckman M, Hooper WC, Critchley S, Ortel T. Venous thromboembolism: a public health concern. Am J Prev Med. 2010;38(4 Suppl):S495-501.

3. Grosse SD, Nelson RE, Nyarko KA, et al. The economic burden of incident venous thromboembolism in the United States: a review of estimated attributable healthcare costs. Thromb Res. 2016;137:3-10. doi: 10.1016/j.thromres.2015.11.033

4. Patel P, Dohad S, Moriarty J, et al. Healthcare resource utilization and outcomes among patients with intermediate-risk pulmonary embolism treated with computer-assisted vacuum thrombectomy versus other treatment modalities. Presented at: Vascular InterVentional Advances (VIVA) 2024; November 4, 2024; Las Vegas, Nevada. Vizient clinical database. Irving, TX: Vizient, Inc.; 2023. Accessed May 2024. https://www.vizientinc.com. Data from 01/01/2020-09/30/2023 including Lightning 12 and Lightning Flash 1.0.

5. Meinel FG, Nance JW Jr, Schoepf UJ, et al. Predictive value of computed tomography in acute pulmonary embolism: systematic review and meta-analysis. Am J Med. 2015;128:747-59.e2. doi: 10.1016/j.amjmed.2015.01.023


Case 1: Bilateral PE Thrombus Removal With Lightning Flash 2.0 and Element™ Vascular Access System

Mahir Elder, MD, FACC, FSCAI, FASNC, FAHA, FCCP, RPVI
Corewell Health
Dearborn, Michigan
Disclosures: Consultant to Penumbra.

PATIENT PRESENTATION

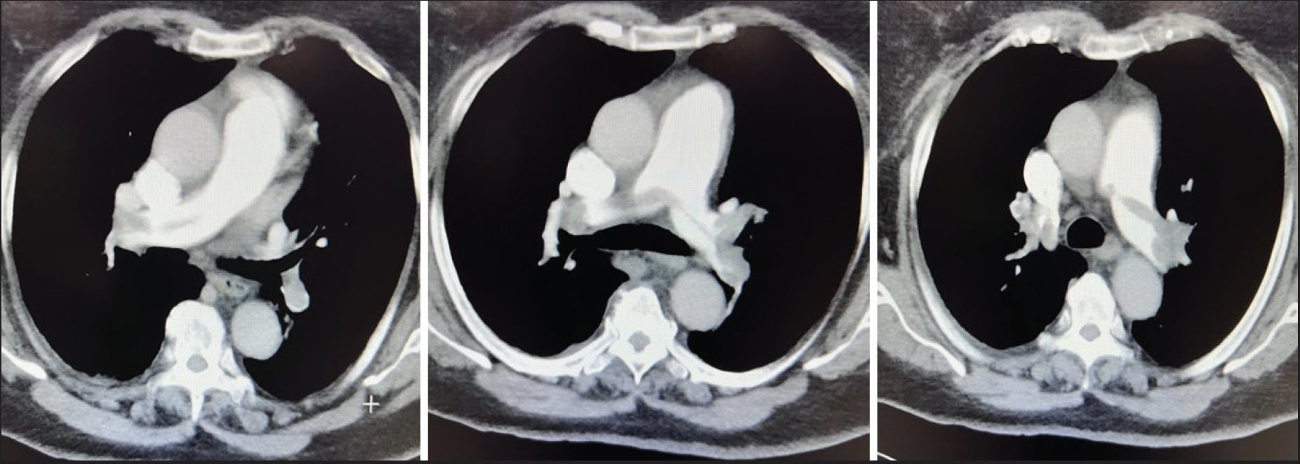
A female patient in her late 60s presented to the emergency department after experiencing a syncopal episode in her car. She reported mild shortness of breath but denied chest pain. Her medical history was notable for a prior postoperative blood clot, for which she was treated with warfarin. Initial vital signs showed a blood pressure of 142/92 mm Hg, a heart rate of 107 bpm, and an oxygen saturation of 95% on room air. Imaging demonstrated right heart strain with an RV/LV ratio of 1.6 and a saddle PE with moderate to large clot burden in the central PAs (Figure 1 and Figure 2). Using a pulmonary wedge pressure catheter, initial PA pressures (PAPs) were 71/26 mm Hg (mean, 45 mm Hg).

Figure 1. Preprocedural CT scan.

Figure 2. Preprocedural angiograms of the right and left PA.

INTERVENTION

Access was obtained via the right femoral vein with an 8-F short sheath, which was then upsized to a 17-F, 65-cm Element™ Sheath (Penumbra, Inc.). The sheath was advanced into the main PA, and the Lightning Flash 2.0 system with HTORQ CAT16 (Penumbra, Inc.) was introduced. Treatment began on the right PA, with continuous movement and torque applied during aspiration, using short, controlled passes in and out of the thrombus. CAVT’s audio and visual cues differentiated between patent flow and clot engagement.

After completing the right side, the left PA was treated using the same technique. When the Lightning Flash catheter tip became clogged, it was retracted and telescoped within the Element sheath, which in our experience, facilitated thrombus extraction without removing the system. The Element sheath also provided stable support throughout the procedure.

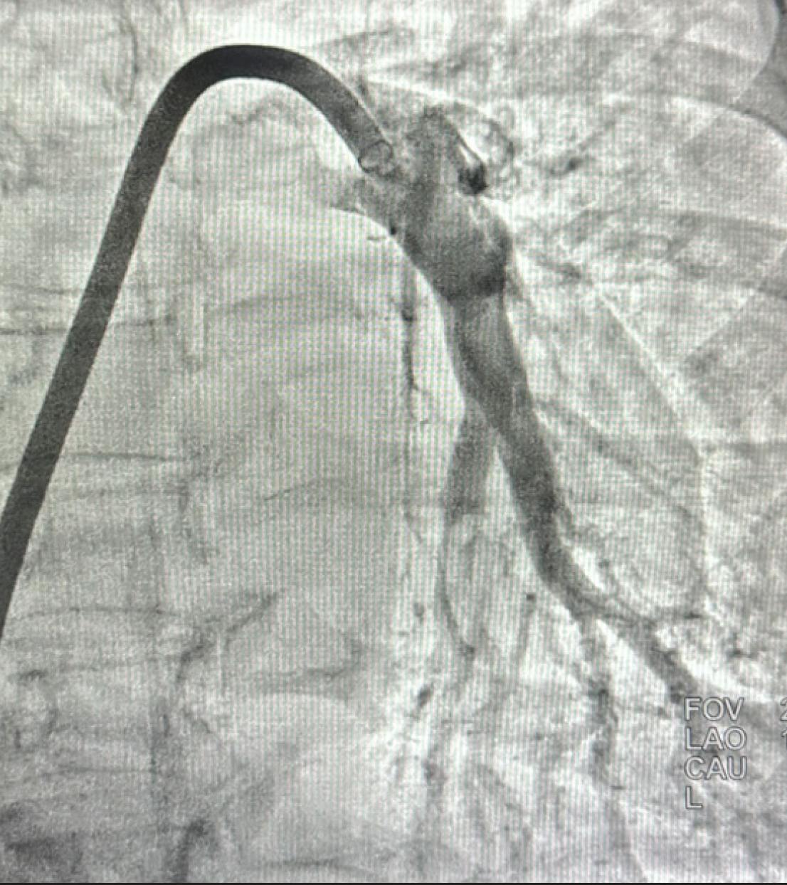
The total procedure time was 40 minutes, with 4 minutes of device activation. Upon thrombus resolution, the patient demonstrated immediate clinical improvement, with a decrease in heart rate and PAP to 40/19 mm Hg (mean, 29 mm Hg) (Figure 3 and Figure 4). The patient was discharged the following day with complete resolution of symptoms.

Figure 3. Postprocedural angiograms of the right and left PA.

Figure 4. Thrombus removed.

CONCLUSION

This case demonstrates the effectiveness of CAVT in rapidly reducing clot burden and improving hemodynamics in a patient with saddle PE. The ease of use of the Lightning Flash System with CAVT, combined with the strong foundational support of the Element Sheath, enabled efficient thrombus removal with minimal device time. Together, these next-generation technologies contributed to the patient’s rapid recovery and discharge.


Case 2: Searching for the “Better”: A Clinical Case for Pulmonary Angiography and CAVT After Thrombolytics in High-Risk PE Patients

Elias Iliadis, MD, FACC, FSCAI, FSVM, RPVI
Interventional Cardiology
Cooper University Hospital
Camden, New Jersey
Disclosures: Consultant to Penumbra.

Kyle Peters, MD
Interventional Cardiology
Cooper University Hospital
Camden, New Jersey
Disclosures: None.

PATIENT PRESENTATION

A female patient in her early 70s with a medical history of obstructive sleep apnea on continuous positive airway pressure, hypertension, hyperlipidemia, heart failure, and ovarian cancer presented with shortness of breath on exertion and chest pain that began overnight. Her spouse reported she became increasingly winded during the night and required assistance walking to the restroom. Later that morning, she developed central, nonpleuritic chest pain, rated as a 9 out of 10.

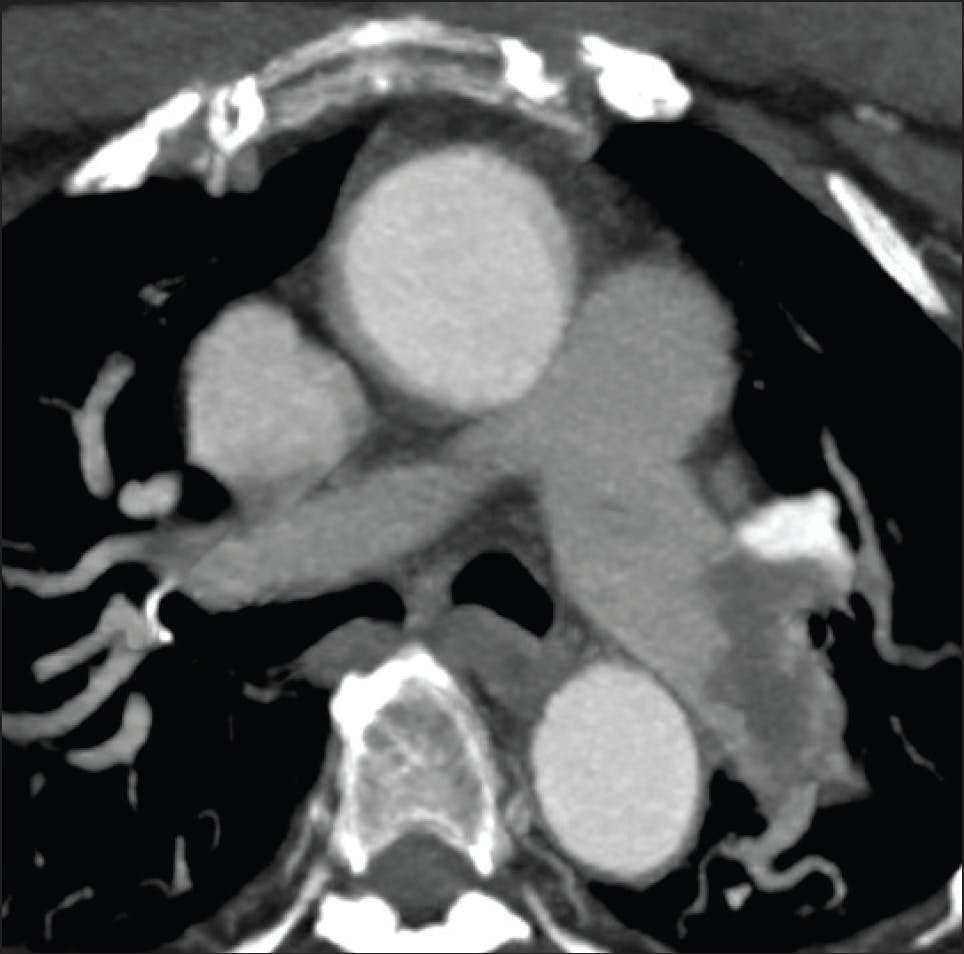
In the emergency department, she was tachycardic at 120 bpm with a systolic blood pressure of 100 mm Hg. She required 40% high-velocity oxygen support and was assessed as clinically unstable. Echocardiography revealed a hyperdynamic left ventricle, a dilated right ventricle with moderately to severely reduced function, and McConnell sign, consistent with PE (Figure 1). CTA showed a high RV/LV ratio of 1.4 and extensive left PE with possible saddle thrombus (Figure 2). The patient became progressively unstable and was administered thrombolytic therapy with tissue plasminogen activator. Overnight, her oxygen requirement improved to 6 L via nasal cannula, although she remained dyspneic and relatively hypotensive. Intravenous heparin was continued, and she was referred to interventional cardiology for further management with CAVT using Penumbra’s Lightning Flash 2.0.

Figure 1. Echocardiogram of dilated right ventricle.

Figure 2. CT revealing high RV/LV ratio of 1.4 and extensive PE with saddle thrombus.

INTERVENTION

Vascular access was obtained via ultrasound-guided micropuncture of the right common femoral vein, followed by placement of a 7-F sheath. A pigtail catheter was used to obtain baseline hemodynamics, and an inferior vena cavagram excluded right iliac or inferior vena cava thrombus. Initial hemodynamics showed a PAP of 52/23 mm Hg (mean, 35 mm Hg), a mixed venous oxygen saturation of 55.6%, and a decreased cardiac output of 4.27 L/min.

Pulmonary angiography demonstrated extensive thrombus in the left main PA and moderate distal thrombi in the right PA (Figure 3). The access site was preclosed with one Perclose ProGlide device (Abbott), and the sheath was upsized to a 16-F Gore DrySeal Flex introducer sheath (Gore & Associates) after serial dilation. A long J wire was advanced into the right PA, followed by introduction of the CAT16 aspiration catheter. After wire removal, CAVT was initiated, and multiple passes in the left PA extracted a significant amount of thrombus (Figure 4). Postthrombectomy angiography revealed marked reduction in clot burden (Figure 5). The total case time was 45 minutes, with a 3-minute device time using Lightning Flash 2.0. Final hemodynamics showed a PAP of 41/19 mm Hg (mean, 28 mm Hg). The 16-F sheath was removed, and hemostasis was achieved with one Perclose ProGlide.

Figure 3. Initial angiogram revealing extensive thrombus in the main PA.

Figure 4. Thrombus removed.

Figure 5. Postthrombectomy angiogram revealing significant reduction in clot burden.

CONCLUSION

As the patient was diagnosed as high-risk status, the decision to use thrombolytic therapy did provide partial improvement. However, her dyspnea was not resolved, necessitating further therapy. Residual clot was successfully treated with Penumbra’s Lightning Flash 2.0 with CAVT, resulting in immediate hemodynamic improvement and significant clot reduction. This case underscores the role of pulmonary angiography and adjunctive thrombectomy in patients with high-risk clot burden who remain symptomatic after thrombolytics. Further study is warranted to help establish best practice guidelines.


Case 3: Syncope but Stable? A Peculiar Presentation of Submassive PE

Zachary Rosol, MD, FACC, FSCAI
Interventional Cardiology
The Heart Hospital–Dallas/Baylor University Medical Center
Dallas, Texas
Disclosures: None.

PATIENT PRESENTATION

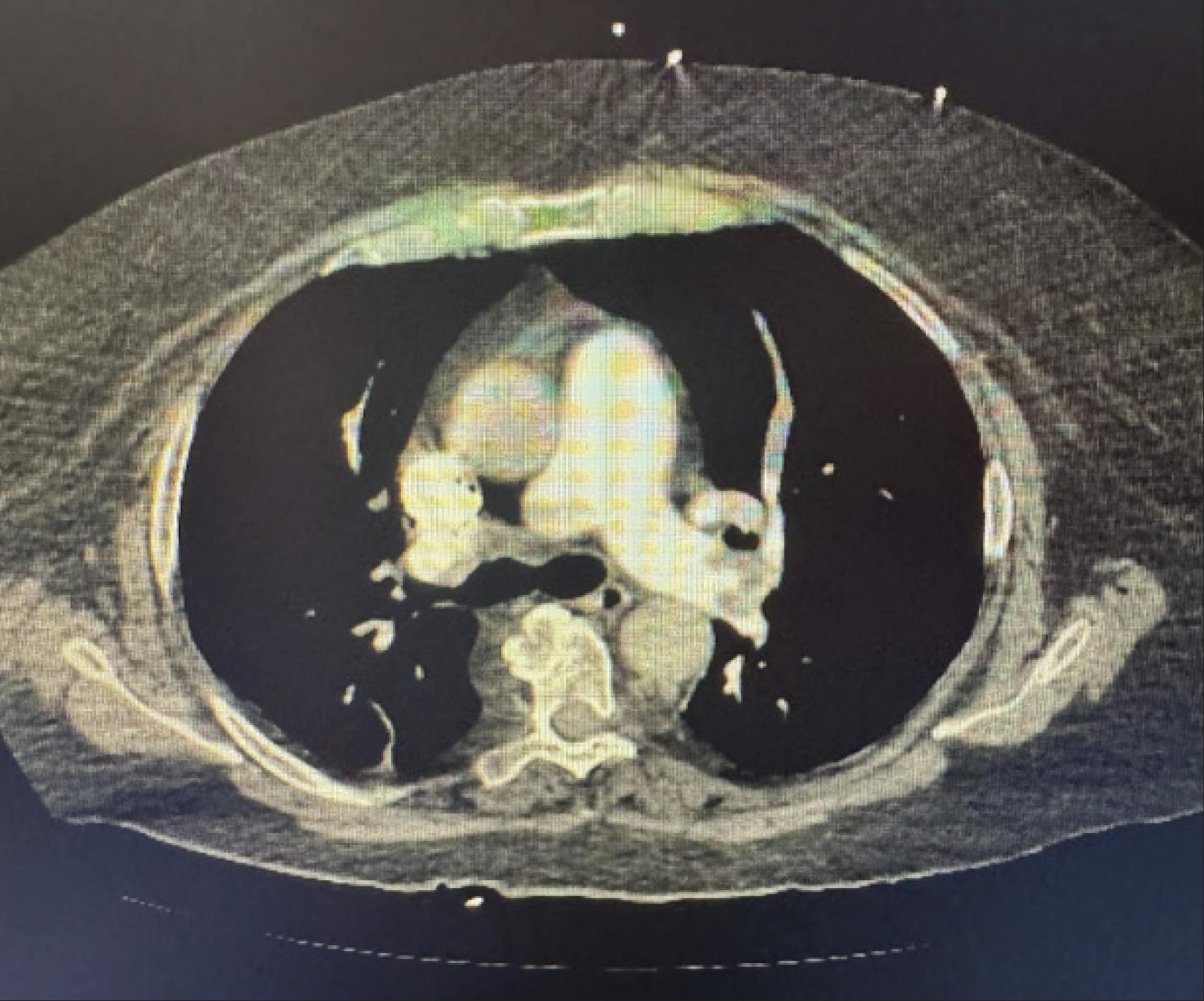
A female patient in her early 70s with a medical history of left posterior cerebral artery (PCA) stroke with residual right-sided weakness (20 years prior), hypertension, hyperlipidemia, hypothyroidism, and mild dementia was admitted to the hospital by a family member after collapsing. CT pulmonary angiography (CTPA) demonstrated RV strain and a saddle PE (Figure 1). Initial brain natriuretic peptide (BNP) and high-sensitivity troponin levels were negative; however, repeat testing showed a high-sensitivity troponin level of 228 ng/L and BNP of 1,549 pg/mL. After discussion with the patient and her family, MT was pursued, as no other reversible cause for syncope was identified.

Figure 1. Initial CTPA showing evidence of RV strain and saddle PE.

INTERVENTION

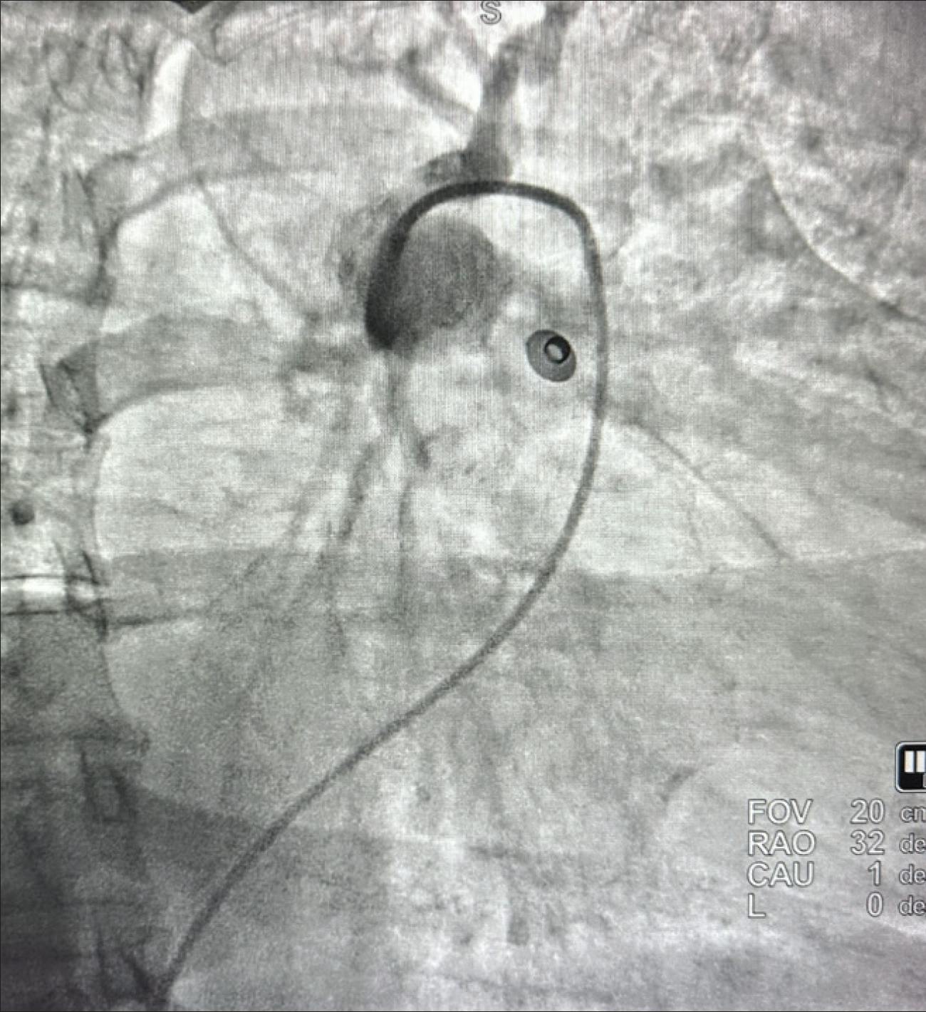
Access was obtained via the right common femoral vein. A pigtail catheter was advanced to gain access into the right main PA. Initial angiography demonstrated minimal thrombus, and mean PAPs were normal at 15 mm Hg. Her heart rate was 68 bpm with an RV/LV ratio of 1.6 and an oxygen saturation of 65.8%. The catheter was then withdrawn to the main PA, and power injection revealed a large filling defect in the left main PA with poor distal opacification.

Figure 2. Initial angiography revealing a significant filling defect in the left main PA with poor distal vessel opacification.

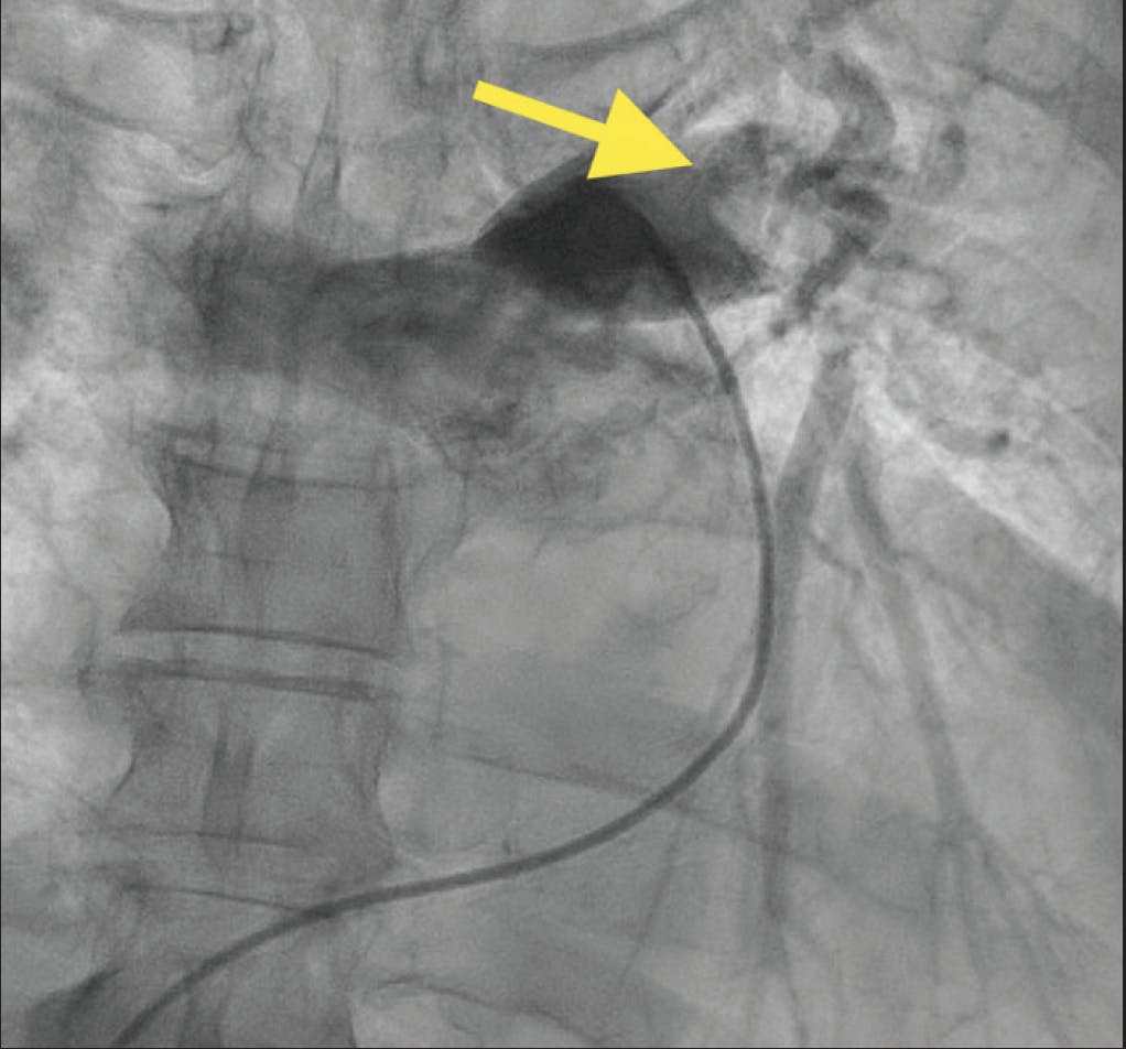
An 18-F sheath was placed, and Penumbra’s 16-F Lightning Flash 2.0 system was advanced into the left PA. Three thrombectomy passes were performed, resulting in significant improvement, with restored patency and distal blush of the left PA (Figure 3 and Figure 4).

Figure 3. Postthrombectomy angiography showing left PA patency and distal blush.

Figure 4. Thrombus removed.

Prior to discharge, a transesophageal echocardiography (TEE) confirmed the presence of a patent foramen ovale (PFO) with an atrial septal aneurysm measuring > 10 mm (Figure 5). Head CT showed no signs of acute stroke. The patient was discharged to rehabilitation with follow-up arranged in a post-PE clinic and with cardiology for consideration of PFO closure.

Figure 5. TEE confirming the presence of a PFO.

CONCLUSION

In this setting, CAVT with the Lightning Flash 2.0 enabled safe, efficient thrombus extraction, providing immediate hemodynamic improvement while minimizing device time and procedural complexity. This case underscores the importance of evaluating for secondary conditions that may be influenced by PE or venous thrombosis. The patient’s RoPE (Risk of Paradoxical Embolism) score at the time of her event would have been 7, suggesting potential benefit from PFO closure according to American Heart Association and Society for Cardiovascular Angiography & Interventions guidelines. Establishing clear protocols and multidisciplinary teams for both inpatient and outpatient management is essential to optimizing outcomes in this complex patient population.


Case 4: CAT RX™ Delivers Impressive Thrombus Removal in Cardiac Arrest Case

Michael Hust, MD
Cypress Cardiovascular Institute
Cypress, Texas
Disclosures: None.

PATIENT PRESENTATION

A 70-year-old male was working in his garden when he began to have mild substernal chest pain. Initially, he didn’t pay much attention to symptoms, as they resolved on their own; however, he later started feeling “off,” and subsequently, his wife contacted the fire department for further help when he began to have unremitting chest discomfort. As soon as the emergency responders entered his front door, he went into cardiac arrest. Emergency responders began CPR and used a defibrillator to deliver 11 shocks. Amiodarone and lidocaine therapy were also initiated.

INTERVENTION

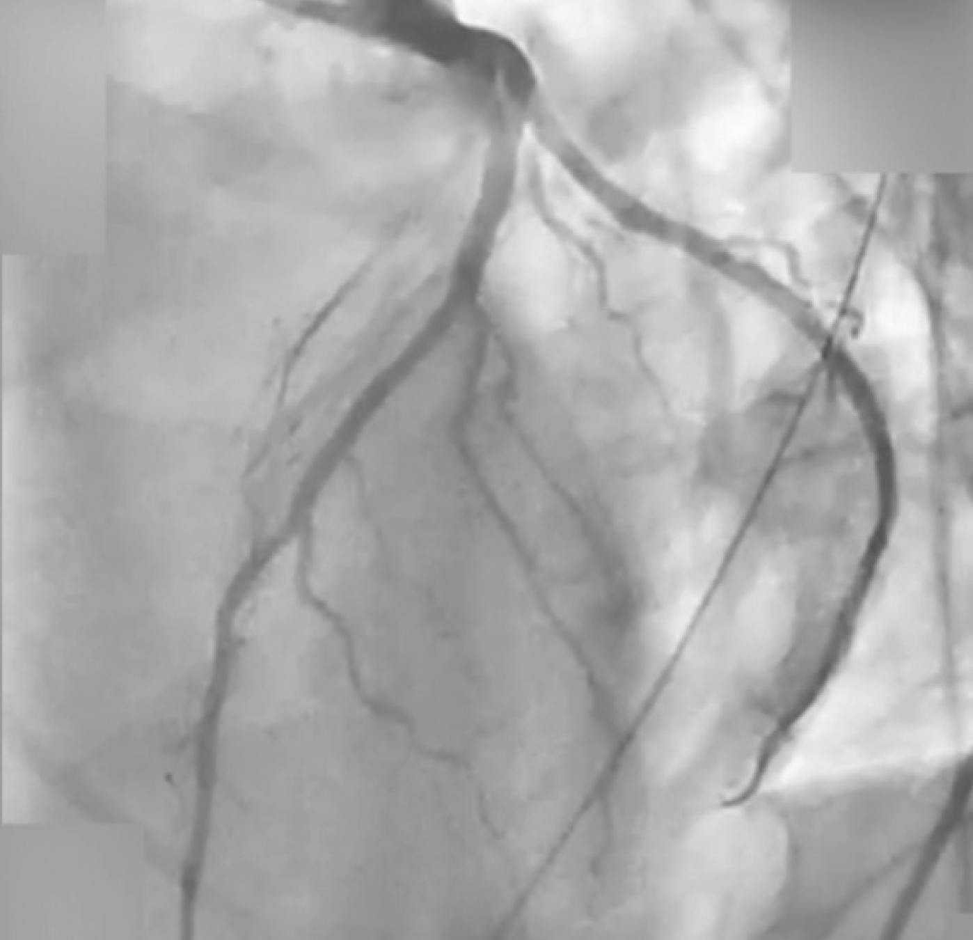
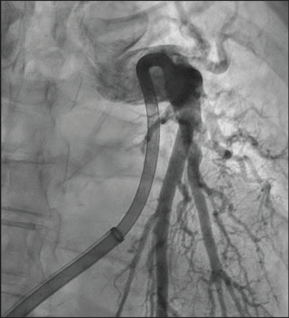
The duration of the cardiac arrest was > 45 minutes, but the emergency responders were present at onset and the patient received consistent compressions throughout. Further tests were ordered, identifying a segment just beyond the ostium of the left anterior descending (LAD) artery that was completely filled with thrombus, extending all the way to the distal vessel (Figure 1). The patient was suspected to have experienced a complete occlusion several hours earlier and had been accumulating thrombus since.

Figure 1. Initial angiogram of the LAD.

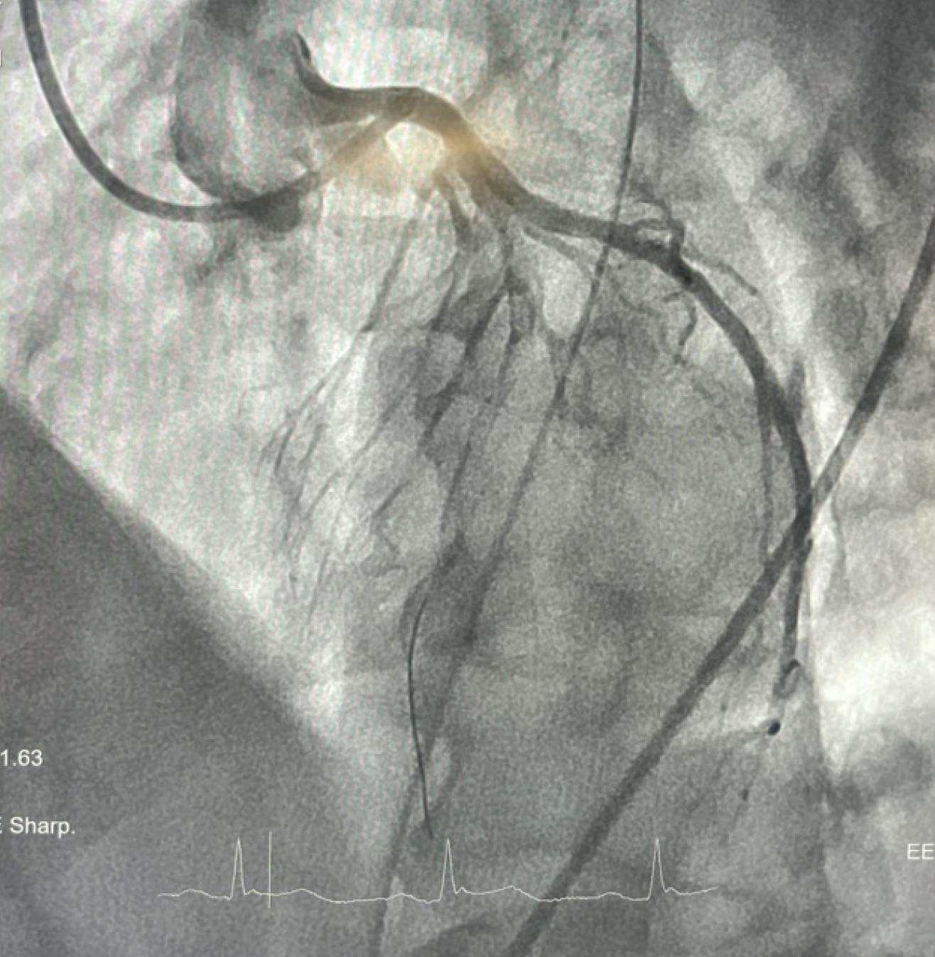
Despite initial balloon angioplasty, revascularization was unsuccessful. Next, manual aspiration catheter was utilized to address the clot burden; however, this was also unsuccessful. The team pivoted to use of the CAT RX aspiration system (Penumbra, Inc.) to deliver sustained power aspiration. In conjunction with the Penumbra ENGINE™ (Penumbra, Inc.), CAT RX removed approximately 95% of the thrombus in two passes. Subsequently, with the use of intravascular ultrasound, the patient’s LAD was stented (Figure 2). After the procedure, the patient was noted to have severely reduced LV function and hypotension. The patient was placed on vasopressors and inotropic support via intravenous infusions and, ultimately, mechanical circulatory support via an Impella device (Abiomed, Inc.). Roughly 48 hours later, the patient was taken off all circulatory support and infusions due to improved hemodynamics and recovered LV function, with repeat echocardiography demonstrating an LV ejection fraction > 65%.

Figure 2. Final angiogram after thrombectomy and stenting.

CONCLUSION

The patient was discharged to home 5 days after admission. The patient returned to gardening and resumed all other activities of daily living without issue. Due to the heavy clot burden in the LAD, sustained power aspiration was needed to safely and quickly restore flow. The CAT RX and Penumbra ENGINE offered an effective solution for this patient and will be used frontline in future thrombus cases.

Clinical trials investigating the routine use of manual aspiration during ACS have found little benefit, and in some studies, an increased risk of stroke.1,2 As thrombus remains a barrier of procedural success, power aspiration with CAT RX may offer safer, more efficient thrombus removal than syringe-based suction. There are now multiple single center studies supporting the safety of CAT RX in high thrombus burden ACS prior to percutaneous coronary intervention (PCI).3,4 In addition, the CHEETAH* study, a prospective, multicenter study with 400 patients, found that frontline treatment with CAT RX prior to PCI in patients with acute, high thrombus burden coronary vessel occlusion resulted in low rates of distal embolization and improved myocardial perfusion, without any device-related serious adverse events, including stroke.5† In our practice, we rely on power mechanical aspiration for thrombus clearance as a frontline tool.

There were 3 (0.77%) incidence of non-device-related strokes as adjudicated by an independent medical reviewer.

1. Frobert O, Lagerqvist B, Olivecrona GK, et al. Thrombus aspiration during ST-segment elevation myocardial infarction. N Engl J Med. 2013;369:1587-1597. doi: 10.1056/NEJMoa1308789

2. Jolly SS, Cairns JA, Yusuf S, et al. Randomized trial of primary PCI with or without routine manual thrombectomy. N Engl J Med. 2015;372:1389-1398. doi: 10.1056/NEJMoa1415098

3. Gilchrist Jr IC, Fordham MJ, Pyo R, et al. Mechanical aspiration thrombectomy using the Penumbra CAT RX system for patients presenting with acute coronary syndrome. Cardiovasc Revasc Med. 2022;40S:316-321. doi: 10.1016/j.carrev.2021.06.130

4. Tashtish N, Chami T, Dong T, et al. Routine use of the “Penumbra” thrombectomy device in myocardial infarction: a real-world experience–ROPUST study. J Interv Cardiol. 2022;2022:5692964. doi: 10.1155/2022/5692964

5. Mathews SJ, Parikh SA, Wu W, et al. Sustained mechanical aspiration thrombectomy for high thrombus burden coronary vessel occlusion: the multicenter CHEETAH study. Circ Cardiovasc Interv. 2023;16:e012433. doi:10.1161/CIRCINTERVENTIONS.122.012433

*The safety and effectiveness of this device for use in the treatment of ST-Elevation Myocardial Infarction (STEMI) has not been established. Complications from the use of this device in this manner could lead to death, permanent impairment, and/or the need for emergency medical intervention.

Disclaimer: The opinions and clinical experiences presented herein are for informational purposes only. The results may not be predictive of all patients. Individual results may vary depending on a variety of patient-specific attributes.